烤瓷牙,杭州烤瓷牙,烤瓷牙专家门诊,烤瓷牙医院,烤瓷牙治疗,烤瓷牙预防
烤瓷牙,杭州烤瓷牙,烤瓷牙专家门诊,烤瓷牙医院,烤瓷牙治疗,烤瓷牙预防 烤瓷牙,杭州烤瓷牙,烤瓷牙专家门诊,烤瓷牙医院,烤瓷牙治疗,烤瓷牙预防
走进安妮 烤瓷牙,杭州烤瓷牙,烤瓷牙专家门诊,烤瓷牙医院,烤瓷牙治疗,烤瓷牙预防 名医荟萃 烤瓷牙,杭州烤瓷牙,烤瓷牙专家门诊,烤瓷牙医院,烤瓷牙治疗,烤瓷牙预防 口腔知识 烤瓷牙,杭州烤瓷牙,烤瓷牙专家门诊,烤瓷牙医院,烤瓷牙治疗,烤瓷牙预防 病例展示 烤瓷牙,杭州烤瓷牙,烤瓷牙专家门诊,烤瓷牙医院,烤瓷牙治疗,烤瓷牙预防

设备展示

烤瓷牙,杭州烤瓷牙,烤瓷牙专家门诊,烤瓷牙医院,烤瓷牙治疗,烤瓷牙预防 地理位置 烤瓷牙,杭州烤瓷牙,烤瓷牙专家门诊,烤瓷牙医院,烤瓷牙治疗,烤瓷牙预防 网上门诊
 
     
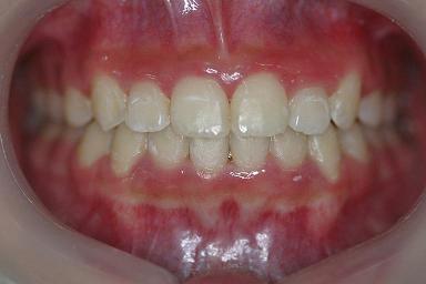
   牙齿拥挤 治疗前后对照

 
    more>>>  
 



      

 

                  矫正治疗前

    

            矫正治疗后


 
 
  烤瓷牙,杭州烤瓷牙,烤瓷牙专家门诊,烤瓷牙医院,烤瓷牙治疗,烤瓷牙预防
 
     
   您能看出哪几颗是烤瓷牙吗?

 
  more>>>  
  烤瓷牙,杭州烤瓷牙,烤瓷牙专家门诊,烤瓷牙医院,烤瓷牙治疗,烤瓷牙预防
 
     
  暂无此内容
 
   
  烤瓷牙,杭州烤瓷牙,烤瓷牙专家门诊,烤瓷牙医院,烤瓷牙治疗,烤瓷牙预防 关注安妮(本周最新动态):
 

烤瓷牙,杭州烤瓷牙,烤瓷牙专家门诊,烤瓷牙医院,烤瓷牙治疗,烤瓷牙预防

烤瓷牙,杭州烤瓷牙,烤瓷牙专家门诊,烤瓷牙医院,烤瓷牙治疗,烤瓷牙预防
 

烤瓷牙,杭州烤瓷牙,烤瓷牙专家门诊,烤瓷牙医院,烤瓷牙治疗,烤瓷牙预防

进入深秋时节几种常见的口腔疾病及如何预防这些口腔疾病的方法。

 

烤瓷牙,杭州烤瓷牙,烤瓷牙专家门诊,烤瓷牙医院,烤瓷牙治疗,烤瓷牙预防

就诊时间:8:30—17:30(双休日不休)
预约电话(Tel):0571-85190346 85196718—0 传真(Fax):85190346
地址(Add):杭州市建国北路587号 利兹城市公寓1幢

Copyright @ 1996 - 2005 dark-horse. All Rights Reserved
guoyi1170@163.com

版权所有
安妮口腔医疗中心 牙齿美容 种植牙 牙齿矫正 烤瓷牙